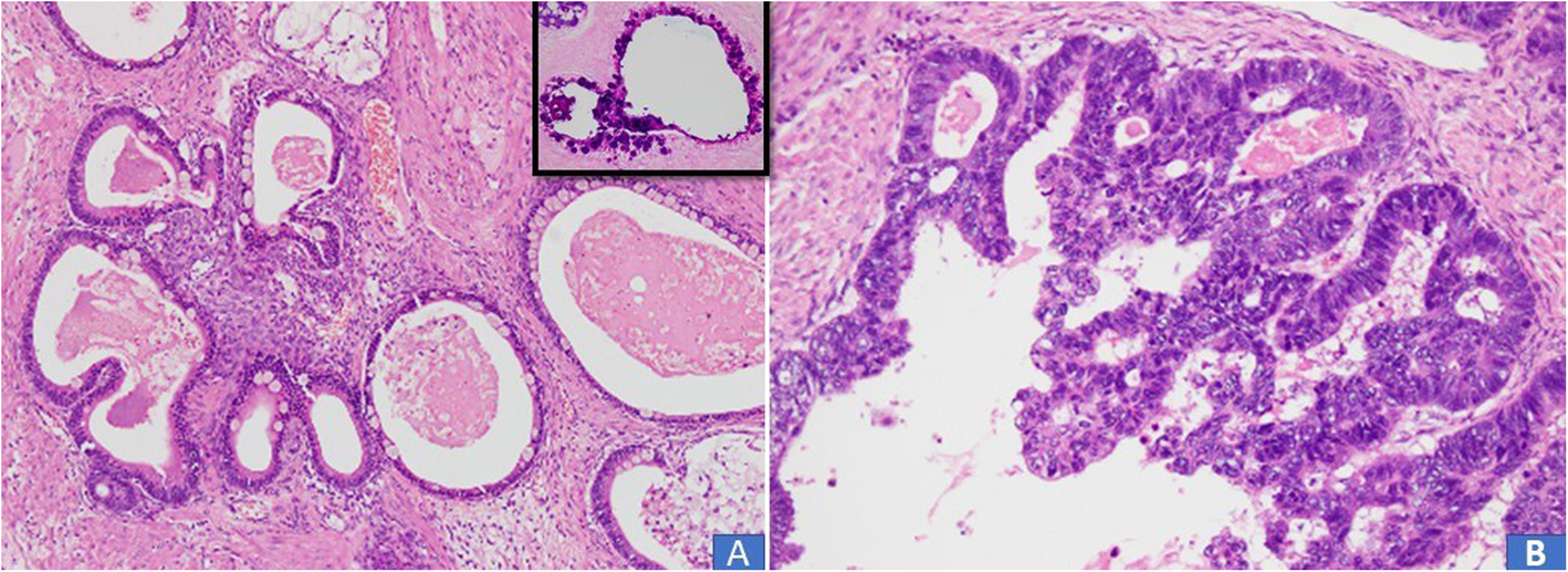
Fig. 5

Seromucinous carcinoma recategorized as endometrioid adenocarcinoma with mucinous differentiation. a Variably dilated glands lined by columnar epithelium with mucinous cytoplasm. (Inset) PAS special stain depicting cytoplasmic mucin. b In other areas, high grade tumor was noted with cribriform pattern and pleomorphic columnar lining cells